Elm adamları insan beyninin ən aydın görüntüsünü dərc ediblər. Şəkli dünyanın ən güclü maqnit rezonans tomoqrafiya (MRT) cihazı ilə əldə etmək mümkün olub.
Fotonu Fransa Atom Enerjisi və Alternativ Enerji Agentliyi (CEA) yayımlayıb.
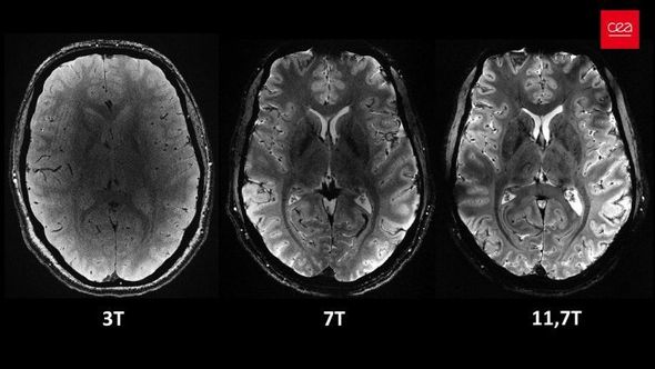
Bildirilib ki, “Iseult” adlı MRT cihazı ilə çəkilən şəkil 20 ildən çox davam edən araşdırma nəticəsində əldə olunub.
Araşdırmalar çərçivəsində MRT cihazının son bir neçə ayda təxminən 20 sağlam könüllü üzərində sınaqdan keçirildiyi və ən aydın beyin görüntüsünün təxminən dörd dəqiqə ərzində əldə edildiyi ifadə edilib.
Açıqlamada qeyd olunub ki, 11,7 Tesla maqnit gücünə malik “Iseult” cihazı ilə qısa müddətdə çəkilən görüntüləri xəstəxanalarda istifadə edilən cihazlarla əldə etmək saatlar çəkə bilər.

Məlumata görə, araşdırmalar daha bir neçə il davam edəcək.
Elm adamları bildiriblər ki, onların məqsədləri 2026-2030-cu ilə qədər psixiatriya sahəsində şizofreniya və bipolyar pozğunluq, həmçinin neyrodegenerativ kimi bir çox xəstəlikləri araşdırmaqdır.
“Iseult” ilə əldə edilən ultra detallı anatomik məlumatların Altsheymer və Parkinson kimi xəstəliklərin diaqnozuna kömək edəcəyi gözlənilir.
Mənbə: Gaziantepolusum.com
www.RESMIXEBER.az


